Das All-on-6 – All-on-8 Behandlungskonzept in München

Fester funktioneller und schöner Zahnersatz auf 6 oder 8 Zahnimplantaten

Mit dem All-on-6 und All-on-8 Behandlungskonzept bekommen Sie feste Zähne aus Keramik in unserer Zahnarztpraxis in München Solln – Obersendling

Beeinträchtigungen beim Essen, Geschmacksempfinden, Sprechen und Lachen durch schlechtsitzenden Zahnersatz müssen dank modernster Implantologie nicht mehr hingenommen werden: Den Wunsch nach einem strahlenden Lächeln können wir unseren Patienten und Patientinnen, die unter zahnlosen Ober- und/oder Unterkiefern leiden, mit dem All-on-6 und All-on-8 Behandlungskonzept in unserer Zahnarztpraxis erfüllen. Das Konzept beruht darauf, an 6 Implantaten im Unterkiefer bzw. 8 Implantaten im Oberkiefer hochwertigen Zahnersatz aus Keramik zu befestigen, der den höchsten Anforderungen an Ästhetik und Funktionalität entspricht.

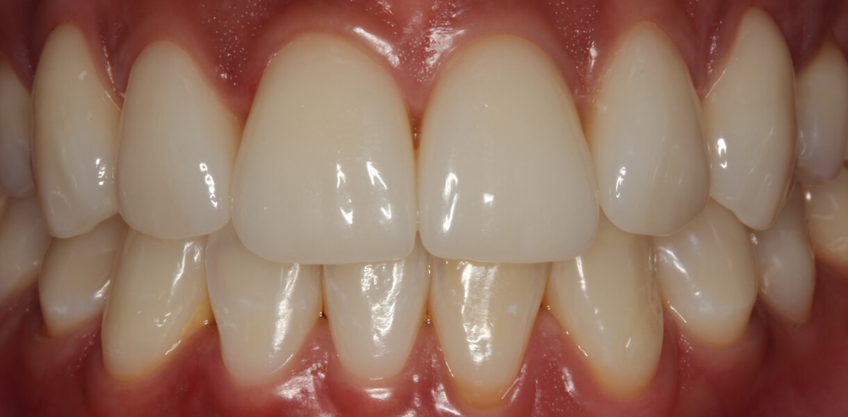
Der festsitzende Zahnersatz wird aus Zirkonoxidkeramik hergestellt. Das leistungsfähige Material ist nicht nur ästhetisch ansprechend und sieht natürlich aus, sondern es ist äußerst stabil, langlebig und biokompatibel. Da die Fertigung des Zahnersatzes sehr anspruchsvoll ist und man viel Erfahrung braucht, arbeiten wir exklusiv mit dem zahntechnischen Meisterlabor König & Weiß zusammen, um höchste Qualität zu garantieren.

Bildquelle: ©GZFA Suchen Sie einen neuen Zahnarzt in München für natürlichen, funktionellen und schönen Zahnersatz?

Bildquelle: ©GZFA Komplette Versorgung von Ober- Unterkiefer mit Keramikbrücken auf Implantaten

Das All-on-6 und All-on-8 Behandlungskonzept – Vorteile, Ablauf und Kosten

Das All-on-6 und All-on-8 Behandlungskonzept stellt eine hochwertige Versorgung für Patienten und Patientinnen dar, die sehr viele Zähne verloren haben oder zahnlos sind. Mit Zahnimplantaten und Implantat-Prothetik gelingt es, die volle Funktionalität bei natürlichem Aussehen wiederherzustellen. Es werden keine einzelnen Zähne durch je eine künstliche Zahnwurzel ersetzt, sondern eine komplette feste Zahnbrücke je Kiefer wird an 6 bzw. 8 Implantaten verankert. Der Operationsaufwand ist damit viel geringer, die Wundheilung beschleunigt. Neben All-on-6 und All-on-8 gibt es noch das spezielle All-on-4® Behandlungskonzept (Feste dritte schöne Zähne an einem Tag), welches sich durch sofortige Belastbarkeit auszeichnet und möglicherweise dann in Frage kommt, wenn das Kieferknochenangebot gering ist.

Für alle, die mit ihren herausnehmbaren Voll- oder Teilprothesen unzufrieden sind, stellt All-on-6 oder All-on-8 eine perfekte Alternative dar, um schlechtsitzenden und unkomfortablen Zahnersatz zu tauschen, was mit einem hohen Gewinn an Lebensqualität einhergeht. Wieder alles essen können bedeutet auch abwechslungsreiche und gesunde Ernährung, was Mangelerscheinungen vorbeugt. Medizinisch gesehen bieten künstliche Zahnwurzeln darüber hinaus noch den Vorteil, dass sich der Kieferknochen nicht weiter zurückbildet, da er auf natürliche Weise belastet wird. Der Druck wird gleichmäßig auf den Kiefer verteilt.

Bei der All-on-6 bzw. der All-on-8 Versorgung handelt es sich um eine komplexe Implantation, die nur von erfahrenen Zahnärzten und Implantologen angewandt wird. Um den eigentlichen chirurgischen Eingriff durchzuführen, sind diverse Vorbereitungen und Planungsarbeiten notwendig. Dazu zählen dreidimensionale Röntgenaufnahmen mit digitaler Volumentomografie (DVT) von Schädel und Kiefer, Berechnung von Bohrwinkeln und Bohrtiefe, Anfertigung von Bohrschablonen und das sogenannte Backward-Planning. Dies bedeutet eine computergestützte Vorgehensweise, um das passende Langzeitprovisorium vorab herzustellen und die Ergebnisse bereits vor der Operation zu visualisieren. Hierbei arbeiten Behandler und Zahntechniker eng zusammen. Die genannten Maßnahmen helfen, nicht nur Ästhetik und Funktionalität deutlich zu erhöhen, sondern das Einsetzen der künstlichen Zahnwurzeln wird sicherer und schonender, da Nervenverläufe und anatomische Besonderheiten genau bekannt sind und berücksichtigt werden.

Die Implantation kommt für jedes Erwachsenen-Lebensalter – selbstverständlich auch für Senioren – in Frage, wenn die gesundheitlichen Voraussetzungen für einen zahnchirurgischen Eingriff gegeben sind und das Knochenvolumen ausreichend ist. Eventuell sind vorherige Maßnahmen zum Knochenaufbau notwendig. Hierfür kommen Eigenknochenspenden oder Knochen-Ersatzmaterialien in Frage.

Die Operation erfolgt unter Lokalanästhesie oder – auf Patientenwunsch – ist die Behandlung auch unter Vollnarkose in einem einzigen Termin möglich. Während der mehrmonatigen Einheilzeit der Implantate sind die Zähne mit einem hochwertigen Langzeit-Provisorium versorgt, allerdings sind sie nicht sofort belastbar. Erst, wenn die künstlichen Zahnwurzeln fest mit dem Kieferknochen verwachsen sind, werden die endgültigen festen Zähne daran verankert. Um den Behandlungserfolg zu sichern, sind Nachsorgetermine in unserer Zahnarztpraxis notwendig. Hier erhalten Sie auch alle Informationen rund um Schutz und häusliche Pflege Ihres wertvollen Zahnersatzes.

Die Kosten für das All-on-6 und All-on-8 Behandlungskonzept lassen sich nicht pauschal beziffern. Sie variieren individuell und sind abhängig vom Zustand des Kiefers, möglicherweise vorhandener Restbezahnung, Allgemeingesundheit und evtl. notwendiger Knochenaufbaumaßnahmen. Neben dem zahnärztlichen Honorar fallen die Leistungen des Dentallabors für die Herstellung des Zahnersatzes an. Der Heil- und Kostenplan als auch der Kostenvoranschlag des Dentallabors werden vor der Behandlung erstellt und im Detail erläutert.

Jeder Implantation gehen umfangreiche Beratungen, modernste Untersuchungen und eventuelle Tests voraus. Dies ist notwendig, um die beste Versorgungslösung unter verschiedenen Möglichkeiten zu finden und im vertrauensvollen Gespräch zwischen Zahnarzt und Patient zu wählen. Sofern sich herausstellt, dass ein All-on-4® Behandlungskonzept sinnvoller und möglicherweise kostengünstiger ist, werden wir dies als hierfür zertifizierte Zahnarztpraxis anwenden.

Das All-on-8 Behandlungskonzept: Zahnbrücke aus Vollkeramik auf 8 Implantaten für den Oberkiefer

Um einen komplett zahnlosen Oberkiefer mit dem All-on-8 Konzept zu versorgen, benötigt man für festsitzenden Zahnersatz insgesamt 8 Implantate, die im Kiefer verteilt werden. Sofern es sich um herausnehmbaren Zahnersatz handelt, reichen 6 Implantate aus. Damit gehören wackelige Prothesen und Einschränkungen beim Kauen, Sprechen und Lachen der Vergangenheit an. Nach der mehrmonatigen Einheilzeit kann bedenkenlos wieder alles konsumiert werden – ohne Geschmackseinbußen durch Gaumenplatte und Haftcreme. Die Implantate verhelfen außerdem zu einer stabilen und knochenerhaltenden Versorgung mit ästhetisch schönem Zahnersatz aus Zirkonvollkeramik. Von echten Zähnen ist dieser hochwertige Zahnersatz nicht mehr zu unterscheiden, was gesunde und jugendliche Ausstrahlung verleiht. 

Bildquelle: ©GZFA Versorgung des Oberkiefers mit einer Keramikbrücke auf 8 Implantaten.
Bildquelle: ©GZFA Versorgung des Unterkiefers mit einer Keramikbrücke auf 6 Implantaten.

Das All-on-6 Behandlungskonzept: Zahnbrücke aus Vollkeramik auf 6 Implantaten für den Unterkiefer

Bei kompletter Zahnlosigkeit des Unterkiefers benötigt man beim All-on-6 Behandlungskonzept 6 Implantate, um festen Zahnersatz aus Zirkonoxidkeramik zu fixieren. Für herausnehmbaren Zahnersatz genügen normalerweise 4 künstliche Zahnwurzeln.

Die Versorgung mit Implantaten wirkt sich im Unterkiefer besonders positiv aus, denn bedingt durch anatomische Besonderheiten bildet sich der Unterkieferknochen bei zahnlosen Patienten und Patientinnen besonders schnell zurück. Damit fallen die Gesichtszüge ein, was einen Menschen älter wirken lässt.

Nach der Implantation unterstützen wir Sie bei regelmäßigen Vorsorgeterminen, mit Professionellen Zahnreinigungen und Tipps für Ihre häusliche Implantatpflege, damit Sie ein Leben lang Freude an Ihren wertvollen Zahnimplantaten haben.

Ihr Zahnärzte Team der MunichDent